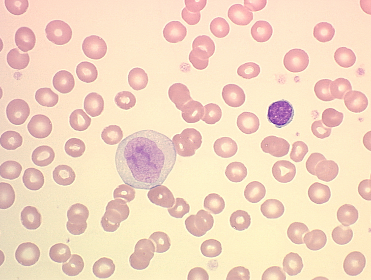
WBC Case 5.1