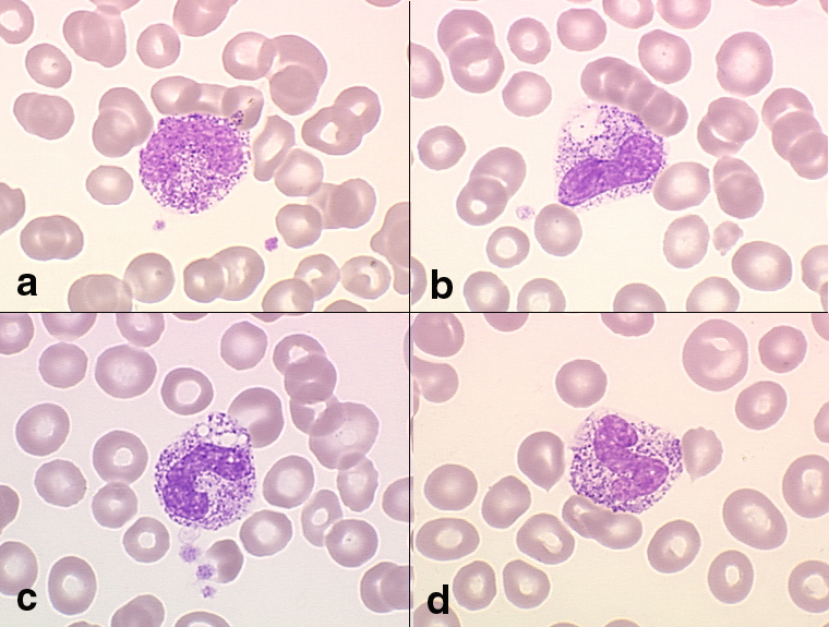
WBC Case 2.4